כיוון שקיים מעט מאוד מידע בנוגע למעבר (HGT- higher-grade transformation) של מטופלים עם לימפומה באזור המרגינלי (MZL- marginal zone lymphoma) ללימפומה אגרסיבית, החוקרים דיווחו על עוקבה גדולה של מטופלים, זיהו את גורמי הסיכון וקבעו את ההשפעה של HGT על השרידות הכוללת.
החוקרים ביצוע ניתוח נתונים של 453 מטופלים שאובחנו באמצעות ביופסיה ב-MZL בבית החולים בו הם עובדים בין השנים 1995-2016. כמו כן, על מנת לבדוק תוצאים הקשורים בזמן עד אירוע, החוקרים השתמשו בKaplan-Meier, רגרסיית Cox proportional hazards והשוואה בין שיטות למדידת סיכון.
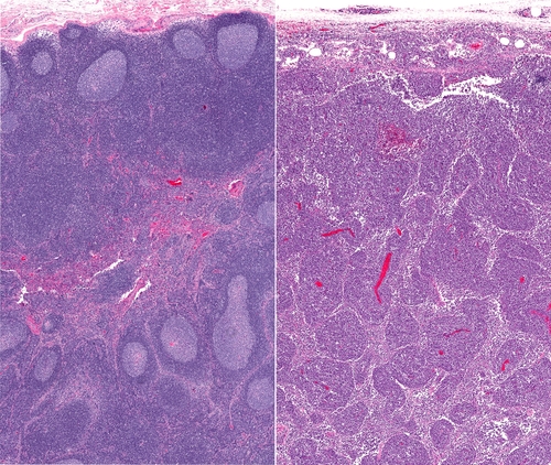
תוצאות המחקר חשפו כי ל-34 מטופלים (7.5%) היה HGT מוכח בביופסיה ללימפומה דיפוזית של תאי B גדולים, כולל 7 מטופלים (21%) שאובחנו בזמן האבחנה הראשונית של MZL. מתוך 27 המטופלים עם ההיארעות החדשה, זמן החציון עד ל-HGT היה 29 חודשים (טווח: 1.3-135 חודשים). החוקרים ראו כי מטופלים עם MZL בבלוטות/טחול היו בעלי סיכון גבוה יותר ל-HGT (יחס הסיכונים התת חלוקתי [SHR – subdistribution hazard ratio],י2.60 ; P= 0.023).
באנליזה רב משתנית של השוואת סיכונים, החוקרים מצאו שרמות מוגברות של LDHי(lactate dehydrogenase) (SHR, 2.71), יותר מארבעה אזורים מעורבים (SHR, 2.97) וחוסר הצלחה בהגעה לרמיסיה מלאה (CR – complete remission) לאחר הטיפול הראשוני (SHR, 3.76), הצביעו על סיכון מוגבר באופן מובהק ל-HGTי(P< 0.02).
החוקרים מצאו כי גורמים כמו IPIי(International Prognostic Index),יIPI של לימפומה פוליקולרית ו-IPI של לימפומה ברקמה לימפואידית הקשורה למוקוזה, היו גורמים מנבאים רק עבור HGT חד משתני.
עוד נמצא כי מטופלים עם HGT היו בעלי שרידות כוללת קצרה יותר (שרידות לחמש שנים: 65% בהשוואה ל-86%, P< 0.001). מטופלים אשר הציגו HGT תוך שנה מרגע אבחון ה-MZL, היו בעלי שרידות כוללת קצרה יותר בהשוואה לאלה שהיו עם HGT בשלב אבחון ה-MZL ובהשוואה לאלה עם HGT שהופיע לאחר יותר משנה מהאבחון הראשוני (שרידות לארבע שנים: 43% בהשוואה ל-81%, P< 0.001).
הגורמים המנבאים העיקריים לזמן ללא התקדמות מחלה ולשרידות כוללת נמוכים יותר היו חוסר הצלחה בהגעה ל-CR יחד עם ציון IPI גבוה, IPI של לימפומה פוליקולרית ו-IPI של לימפומה ברקמה לימפואידית הקשורה למוקוזה.
החוקרים הסיקו כי חוסר הצלחה בהגעה ל-CR לאחר הטיפול ההתחלתי, רמות גבוהות של LDH ויותר מארבעה אזורים מעורבים בזמן אבחנת ה-MZL, הם הגורמים המנבאים העיקריים לסיכון גבוה ל-HGT. בנוסף, נמצא כי מטופלים עם HGT הם בעלי שרידות כוללת נמוכה יותר.
מקור:
Alderuccio, J.P. et al. (2018) Journal of Clinical Oncology 36,34.